Кому проводят пластику уздечки верхней губы
Большинство стоматологических пациентов, которым проводят подобную операцию – дети, так как толстая или короткая уздечка может спровоцировать различные серьезные осложнения:
Наличие диастемы (щели) между центральными резцами. Вплетаясь в межзубной сосочек, уздечка верхней губы образует толстый тяж, который предотвращает возможность схождения к центру резцов. Диастема при постоянной нагрузке увеличивается, происходит смещение зубов от центра и вперед. В таком случае происходит постоянная травматизация межзубного сосочка, что способствует развитию пародонтиту и потери зубов.
При подготовке к лечению у ортодонта. Различные мягкотканные тяжи в ротовой полости, в том числе и уздечки языка и верхней губы способны создать небольшую нагрузку на зубной ряд, а это оказывает существенное влияние на прикус
Если нужно исправить прикус, обязательно обратите внимание на уздечки в полости рта.
При болезнях пародонта и угрозе их развития. Уздечка верхней губы в этой ситуации стягивает с зубов слизистую оболочку
Развивается рецессия десны – неприятное явления, которое требует дорогостоящего и длительного лечения.
При подготовке к съемному протезированию. Короткая уздечка языка при движении губ (к примеру, при приеме пищи или разговоре) может способствовать сбрасыванию съемных протезов. Это актуально для тех пациентов, которые их используют.
В некоторых случаях сильно укороченная уздечка может спровоцировать логопедические проблемы нарушением звукообразования. Поэтому в этом случае также показана пластика верхней губы.
У младенцев – затруднения во время сосания груди, увеличение длительности кормления, недостаточная прибавка веса.
Возникновение неправильного прикуса ─ при укороченной уздечке происходит выдвигание передних резцов. Поэтому если вовремя не провести оперативное вмешательство, то последующее лечение будет дорогим и сложным.
Постепенное увеличение неустойчивости зубов, обнажение их корней и повышение чувствительности.
Формирование кармана десны – углубления между десной и зубом, которое в итоге приводит к возникновению зубного налета и пародонтиту.
Оптимальный возраст для проведения коррекции верхней уздечки
Насколько экстренно нужно проводить такую операцию, зависит от степени выраженности патологии и ее силы влияния на здоровье ребенка. Для малышей существует два благоприятных периода для проведения пластики верхней уздечки. Один из них – возраст 2,5-6 месяцев, при этом упростится проблема кормления, потому что ребенок не потеряет сосок, что происходит при наличии короткой уздечки. В былые времена такая операция не проводилась в столь раннем возрасте, но с появлением новейших методик и современной медицинской аппаратуры такое вмешательство на сегодняшний день вполне безопасное, груднички его хорошо переносят. Выполнять такую операцию должен только детский стоматолог-хирург.
Второй благоприятный период для проведения коррекции уздечки ─ возраст 6-9 лет. В таком возрасте уже прорезались четыре передних резца на нижней и верхней зубной дуге. Происходит активная смена прикуса – выпадают молочные зубы и прорезываются постоянные. Идеально, когда происходит прорезывание центральных резцов, и нет еще боковых. В такой ситуации боковые резцы, которые прорезываются, подталкивают к центру центральные (теперь их движению ничего не может помешать). И тогда все придет в норму – самостоятельно или с ортодонтической поддержкой.
Через определенные физиологические различия пластика нижней губы проводится в возрасте 7-9 лет, верхней – в 6-8 лет. Если педиатры недосмотрели патологию в детском возрасте, необходимость пластики уздечки верхней губы возникает и во взрослом возрасте. В этом нет опасности, так как взрослые так же легко, как дети, переносят такую операцию.
Пластика уздечки языка: проведение операции
Уздечка языка – это перепончатая перемычка, которая соединяет язык и нижнюю челюсть (см. также: что делать, если грудничок высовывает язык?). Благодаря ее наличию язык удерживается в нормальном положении. Она отвечает за многие важные функции в организме человека:
- питание, в младенчестве – сосание груди;
- правильное произношение;
- нормальный прикус;
- работу лицевых мышц.
Чем опасна для малыша анкилоглоссия? Она вызывает отклонения в развитии челюсти и нарушение прикуса. Понять, что у грудничка короткая уздечка, можно сразу после рождения. Малыш плохо сосет грудь, быстро устает, плачет и часто прикладывается к материнской груди. Во время кормления слышатся характерные цокающие звуки, а молоко выливается изо рта.
В более старшем возрасте для определения анкилоглоссии используется простой тест: если ребенок может достать верхнее небо кончиком языка, длина уздечки нормальная. Специалист может заподозрить отклонение, когда у ребенка есть нарушения прикуса, пародонтит, логопедические патологии, дискомфорт при жевании и проглатывании пищи. Обычно данную проблему диагностирует логопед, к которому обращаются за помощью при неправильном произношении звуков и слов.
Анкилоглоссия подлежит лечению, в противном случае она приводит к серьезным нарушениям:
- пережевывания пищи;
- прикуса;
- произношения;
- гнусавости;
- храпу (апноэ);
- воспалительным заболеваниям полости рта;
- частым простудам вследствие ротового дыхания;
- нарушениям работы желудочно-кишечного тракта;
- сколиозу.
Часто анкилоглоссия возникает по наследственным причинам. Если у родственников имелась такая патология, вероятность рождения ребенка с тем же нарушением достаточно высока. Кроме генетической предрасположенности короткая уздечка формируется при патологиях беременности матери и иных факторах:
- вирусных заболеваниях (особенно опасны первый и третий триместры);
- токсикозах;
- обострении хронических заболеваний;
- психотравмирующих ситуациях;
- приеме алкоголя, наркотических средств, отравлении химическими препаратами в первые 3 месяца беременности;
- плохой экологической ситуации в регионе проживания;
- ушибе живота или других травмах.
В первом случае операция длится полчаса-час в два этапа:
- Для обезболивания вводят анестетик местного действия или обрабатывают ротовую полость гелем, спреем.
- Врач делает надрез и накладывает швы.
После операции возможно небольшое кровотечение. Первые 10 дней будет небольшая отёчность и болезненность. След от швов со временем полностью исчезнет.
Пластика уздечки языка у детей в роддоме проходит без обезболивания поперечным надрезом. Кровь останавливается сама после прикладывания малыша к груди.
Если операция не была проведена в роддоме, назначают её по достижении ребёнком 4-х лет. Проводит подрезание уздечки языка у детей хирург по направлению логопеда, ортодонта или стоматолога. Исправление анкилоглоссии в основном проходит одним из трёх способов:
- Френулоэктомия. Врач рассекает складки по бокам и стягивает их поперечными швами. Этот способ считают самым простым.
- Френулотомия. Хирург фиксирует уздечку зажимом и делает разрезы вверху и внизу, края полученного треугольника сшивает.
- Френулопластика. Доктор делает два надреза, чтобы отделить полоску, потом подшивает её к уздечке. Таким образом крепление смещается.
Врач решает, каким лучше способом – скальпелем или лазером – подрезать уздечку языка ребенку или взрослому, учитывая степень нарушения, индивидуальные противопоказания.
В результате проведенной операции язык двигается свободно, но прикус и произношение сразу не исправляются. Над этим надо работать дополнительно.
Перед проведением подрезания уздечки языка у взрослых и детей, следует учитывать противопоказания:
- острые инфекционные болезни;
- хронические патологии при рецидиве;
- заболевания крови;
- злокачественные опухоли;
- заболевания полости рта (после устранения очагов кариеса и других проблем можно сделать операцию).
У младенцев рассечение скальпелем и лазером не вызывает боли, их сразу можно прикладывать к груди. Малыш активно сосёт, меньше плачет, начинает набирать вес.
Пластика уздечки языка у взрослых и детей постарше, проведенная скальпелем, требует кратковременной реабилитации и соблюдения условий:
- полоскание рта раствором фурацилина, отваром ромашки или календулы;
- питание тёплой жидкой едой с минимальным количеством соли;
- выполнение упражнений, рекомендованных врачом.
Осложнений подрезка подъязычной уздечки не вызывает. В редких случаях рана может воспалиться, если была плохо обработана во время процедуры, и дома не проводилась гигиена.
Как проверить, короткая ли уздечка у ребенка
Наличие сложностей с уздечкой можно легко определить самостоятельно:
- Немного приоткрыть рот и поместить кончик языка в область за верхними зубами. В таком положении хорошо видно место прикрепления уздечки. Если она не там, «где нужно», язык трудно поднимать вверх.
- Вытянуть язык вперед. Короткая уздечка не дает это сделать, кроме того кончик языка визуально выглядит раздвоенным
- Открыть рот и попробовать коснуться языком верхней губы, облизать ее. Сложности с уздечкой делают это движение трудновыполнимым.
Обратите внимание: иногда ребенок не может справиться с данными упражнениями не из-за того, что с уздечкой что-то не то. Причиной могут оказаться слабые мышцы артикуляционного аппарата
Возьмите чистый носовой платок и попробуйте помочь языку. Если при движении чувствуется сопротивление, значит дело все-таки в подъязычной уздечке.
Как распознать у ребенка короткую уздечку
Даже если у ребенка обнаружена короткая уздечка, ее обрезание не всегда требуется. Обычно это делается только в случае, если это мешает кормить ребенка грудью. Однако иногда короткая уздечка может вызывать проблемы с речью и дикцией в более позднем возрасте, что также является показанием для ее обрезания. Если ребенок хорошо сосет грудь, несмотря на этот небольшой дефект, то обрезание не выполняется
Однако родители должны следить за своим малышом и обратить внимание, если они заметят, что движения языка не соответствуют норме, так как короткая уздечка может привести к трудностям в высовывании языка изо рта. Это может сопровождаться характерным щелканьем
Даже если ребенок нормально питается и может брать грудь, несмотря на короткую уздечку, она может вызвать другие проблемы со временем. Часто у таких детей возникают трудности с произношением звука «Р» и шипящих звуков, что влияет на речь. В более сложных случаях речь становится неразборчивой и практически непонятной. Кроме того, короткая уздечка может неправильно сформировать нижнюю челюсть, что влияет на формирование речевого аппарата и челюсти, а также может привести к проблемам с зубами, гингивиту и пародонтиту.
Иногда родители могут не знать о наличии короткой уздечки у своего ребенка. Если вашему ребенку уже 5 лет и у него есть проблемы с произношением шипящих звуков и звука «Р», стоит проверить, не является ли причиной этого короткая уздечка. Попросите ребенка открыть рот шире и высунуть язык. Возможно, короткая уздечка стала причиной проблем с дикцией. Также при этой аномалии ребенок может испытывать трудности с поднятием языка вверх и не сможет достать им до верхнего неба. В норме длина уздечки ребенка к пяти годам должна быть не менее 0,8 см.
Еще одним признаком короткой уздечки является то, что язык при его поднятии вверх раздваивается и образует на кончике форму сердца. Это означает, что кончик языка удерживается слишком короткой уздечкой. В норме передний край уздечки должен прикрепляться чуть выше основания сосочка десны и не должен быть слишком близко к концу языка.
Существуют методы, которые помогут более точно определить наличие короткой уздечки у ребенка. Например, можно попросить ребенка облизать блюдце или поцокать языком. Если он справляется с этими действиями без труда, то причина проблем не в уздечке.
Однако, если все же проблема с короткой уздечкой существует, хирург не всегда решает ее устранять. Например, если ребенку уже 4 года и у него есть проблемы с речью, то обрезание уздечки не решит эти проблемы. Хирургическое вмешательство в таком случае считается запоздалым
Поэтому важно диагностировать эту аномалию как можно раньше. Чем моложе ребенок, тем успешнее будет обрезание
Если же задержать эту процедуру, то короткая уздечка может негативно сказаться на развитии челюсти, зубов и вызвать проблемы с дикцией.
Однако, даже если вы задержали операцию и ребенку уже исполнилось четыре года, не стоит отчаиваться. Если вы заметили, что ребенок не справляется с шипящими звуками и звуком «Р», обратитесь к логопеду. Он сможет посоветовать, как решить эту проблему. Кроме обрезания, короткую уздечку можно растягивать. Логопеды используют специальные упражнения для этого
Важно, чтобы ребенок выполнял их правильно, систематически и под контролем опытного специалиста. Тогда есть шанс растянуть уздечку
Упражнения достаточно простые, например, дотягивание кончика языка до кончика носа или подбородка, облизывание блюдца или передвижение языка по верхней губе. Родители должны следить, чтобы ребенок правильно выполнял эти упражнения. Есть и другие методы, но важно делать их регулярно. Только при условии постоянных тренировок можно достичь результата. Сначала ребенку будет трудно, поэтому нужно начинать с небольшого количества повторений и постепенно увеличивать продолжительность упражнений. Таким образом, можно достичь желаемого результата без операции.
Занятия с логопедом также следует начать как можно раньше. Чем раньше начнутся занятия, тем эффективнее и быстрее будет результат. В старшем возрасте детям назначают специальный логопедический массаж, который может быть болезненным и вызывать негативные эмоции у детей.
Методики коррекции анкилоглоссии
Процедура может проводиться в отношении пациентов разных возрастных групп. Тем не менее, технология ее проведения в каждом отдельном случае может отличаться. Далее рассмотрим варианты устранения анкилоглоссии, в зависимости от возраста пациента.
1. Пластика уздечки в младенческом возрасте
Сегодня подобную операцию выполняют новорожденным еще в роддоме или чуть позже в стоматологической клинике. Это простая процедура, которая занимает совсем мало времени и носит название френулотомия. У маленького ребенка уздечка – это пока еще совсем тонкая перепонка с минимальным количеством нервных окончаний. Используя специальные ножницы, врач делает незначительный поперечный надрез. Иногда ранку обрабатывают местным анестетиком, а в других случаях даже этого не требуется.
2. В возрасте до 5-ти лет
В год и до 5 лет операция практически ничем не отличается – проводится аналогичная пластика, однако в этом случае требуется обязательное применение анестезии. Для детей данной возрастной категории процедура может оказаться болезненной, и во избежание неприятных ощущений прибегают к помощи местных анестетиков.
Детям до 5 лет во время процедуры требуется обязательное применение анестезии
3. Дети подросткового возраста
Если не исправить проблему сразу или до возраста 5 лет, то в последствии уже придется применять другой хирургический метод – френулопластику. Это уже более серьезная процедура, которая в обязательном порядке требует предварительного введения анестезии и последующего наложения швов – используются специальные рассасывающиеся нити.
Существует 3 различных варианта проведения такой операции, и выбор конкретной методики напрямую зависит от степени сложности проблемы:
- удаление – врач делает надрезы в форме треугольника сверху и снизу, одновременно зажимая уздечку с помощью особого инструмента. Производится удаление, и рану ушивают,
- перемещение – врач делает два надреза, которые позволят придать перемычке правильное положение. Затем немного ушивает расстояние между краями раны и фиксирует там выделенный фрагмент,
- разрезание – специалист рассекает складку, после чего стягивает ее края с помощью швов.
Выбор методики коррекции уздечки придется оставить на усмотрение специалиста. В целом, операция достаточно простая и быстрая, а применение анестезии делает ее совершенно безболезненной.
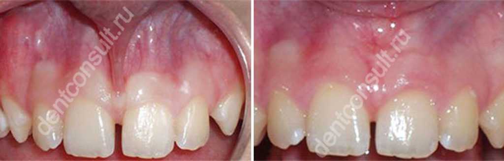
На фото показана уздечка губы до и после операции
Как подрезать уздечку малому ребенку
Патологии уздечки чаще всего обнаруживаются еще в родильном отделении. Проявляются они в том, что младенец не может нормально зажимать сосок и глотать пищу. Диагностика проводится путем осмотра ротовой полости.
Особенности такой операции состоит в том, что она проходит намного легче в младенчестве, чем в более взрослом возрасте. Проводит операцию, как стоматолог-хирург, так и простой хирург или акушер.
Проводить ее необходимо, если есть проблемы с потреблением пищи – для младенца это чревато медленным набором веса и проблемами с желудочно-кишечным трактом, что может выражаться коликами, газами, жидким стулом.
Однако современные специалисты все чаще заявляют о нецелесообразности такой операции без особой потребности, ведь ее приходится повторять в возрасте 6-7 лет.
Применяют чаще всего хирургический метод оперирования. В зависимости от тяжести патологии проводят рассечение уздечки, иссечение или перемещение точки крепления в подъязычной части.
Как проходит операция
В младенческом возрасте в языке еще не сформировалось большое количество сосудов и нервных окончаний. Поэтому процедура проводится без анестезии и накладывания швов.
Доктор просто фиксирует язык, делает надрез специальными ножницами или скальпелем. Младенец при этом не ощущает никаких болевых ощущений и отсутствует последующее кровотечение, поэтому швы никто не накладывает.
После операции достаточно просто приложить ребенка к груди – это быстро останавливает выступившую кровь и успокаивает малыша.
В старшем возрасте уже используют анестетики и стягивают края разреза швами. Оптимально проводить операцию тогда, когда начинают выпадать молочные зубы. В таком случает ребенка необходимо накормить перед операцией.

Языковая уздечка после лазерной пластики
Способы лечения
Сегодня используют два таких вида лечения короткой уздечки у малышей:
- консервативный;
- операция по подрезанию.
Если родители против хирургической операции для подрезания уздечки, то самостоятельно, дома, можно заниматься с ребенком специальной гимнастикой, которую разработали логопеды. Она направлена на растяжку.
Задания:
- капните малышу на верхнюю губу чуть-чуть варенья, пусть попробует слизать его;
- пусть закрытым ртом вытянет губки трубочкой;
- крепко сжимать губки и растягивать их улыбкой;
- закрыть рот, и пробовать упереться концом язычка по очереди в щечки;
- пусть малыш сделает губки трубочкой и попробует «почмокать»;
- вытянутым языком наружу подвигать по сторонам (лево-право);
- грудничкам почаще давайте облизывать ложечку из серебра.
Такие упражнения необходимо делать каждый день не меньше пяти раз в течении 7 минут.
Для того чтобы растянуть уздечку, логопеды иногда советуют делать такой логопедический массаж. Процесс довольно неприятен, но весьма эффективен.
Выполнять его необходимо только чистыми руками, доктор иногда оборачивает пальцы стерильным платком или бинтиком. Итак:
- Зажмите уздечку большим и указательным пальцами, скользите ими по стяжке, начиная с низа и поднимаясь вверх.
- Положите пальцы так, что уздечка располагалась между средним и указательным пальцами, большим нажмите на переднюю часть языка, и аккуратно вытягивайте его наружу.
- Оттягивайте кончик язычка по очереди вверх-вниз, после этого указательным аккуратно потяните перемычку к верху.
- На конец языка положите краюшек пипетки (отрежьте его в форме колечка), затем прижмите его к небу языком и прикройте рот. Это упражнение делайте три раза в день до десяти раз.
Устранение дефекта с помощью оперативного вмешательства
Операцию назначают если:
- у малыша неправильный прикус;
- смещены зубки;
- ребенок не может выговаривать все звуки и буквы, и это не удается откорректировать стандартными методами;
- присутствуют проблемы при кормлении грудью.
Не проводят операции, если есть раковые заболевания, болезни крови, ротовой полости, не вылеченные инфекции в организме.
Решение о потребности в проведении операции принимают вместе несколько врачей. Большинство докторов утверждает, что уздечка сможет растянуться по мере взросления.
https://youtube.com/watch?v=rFWQpgSivXM
Если это сделать до 9 месяцев, то ребенок ничего не почувствует, не испытает боли, потому что уздечка еще не обрастает сосудами и нервными окончаниями.
Заживление занимает только пару часов, потом кроху прикладывают к груди матери. По итогу, у малышей значительно увеличивается аппетит.
Деткам постарше нужно делать ее подрезание, пока у них не поменялись все молочные зубики. Лучшим возрастом для этого считают 6-8 лет, но в определенных случаях оперативное вмешательство проводят ранее.
До подрезания доктор направляет пациента сдать анализы на кровь и мочу. Такую процедуру делают в поликлинике с помощью местного обезболивания, длится она не больше десяти минут. Для избежания возможной потери крови, используются электро ножницы.
Ранка заживет очень быстро (за сутки), но лучше несколько дней не кормить малыша очень горячей и твердой едой, и как следует беспокоиться о ротовой полости.
Спустя неделю малыш должен позаниматься с логопедом (восстановительный курс). Он заключается в тренировке и укреплении мышц, которые участвуют при подъеме языка, восстановлении нарушенных звуков и повторение правильного произношения.
Ничего сверх страшного в данной патологии нет. Родителям не стоит излишне переживать за своего малыша. Это все лечится, исправляется.
И в большинстве случаев без операции. Все что нужно делать родителям – выполнять рекомендации врачей, также заниматься с ребенком дома, чтобы усилить эффект работы.
И тогда все быстро станет на свои места. Ребенок начнет радовать Вас четкой, правильной, взрослой речью.
И малышу будет намного проще выражать собственные мысли. Главное вовремя обратиться за помощью к специалисту, и не упустить драгоценное время.
Понравился наш контент? Подпишитесь на канал в .
Виды лечения
Стоматологи различают 5 видов укорочения уздечки языка. Самой легкой считается 1 степень, а 5 степень является самой сложной
Оптимальный метод лечения может посоветовать лишь специалист, к которому важно обратиться пораньше
Нередко врачом назначается пластика уздечки языка, но многие родители этого не хотят. Однако существуют показания, при которых именно этот метод принесет наиболее положительные результаты. Такими показаниями являются:
Для детей грудного возраста главным показанием к операции являются нарушения кормления, когда малыш с трудом сосет грудь, кричит и не добирает вес.
Если же уздечка своевременно не была исправлена оперативно, то после года в 90% случаев удается исправить эту патологию безоперационными способами. Однако бывают случаи, когда без операции все же обойтись невозможно.
Показания для оперативного лечения патологии
О том, что данный вид укорочения уздечки нуждается в хирургическом лечении, обычно выносят решение основные специалисты: ортопед, хирург и логопед. Обычно для подобного вида лечения должны быть показания:
- невозможность нормального питания;
- смещение зубов;
- неправильный прикус;
- серьезные логопедические патологии, не поддающиеся консервативному лечению.
У дошкольников данная патология обычно выявляется логопедом. Она часто встречается при дислалии, когда затруднено произнесение шипящих, свистящих или небных звуков.
Также к пластике уздечки могут быть ортопедические нарушения: задержка развития нижней челюсти и последующий наклон вовнутрь резцов.
Во взрослом возрасте завышенное прикрепление лингвальной уздечки не позволяет надежно закреплять ортодонтические конструкции. Поэтому перед протезированием приходится вначале производить пластику уздечки языка
Это важно потому, что при данной патологии наблюдается частое сбрасывание зубных протезов при разговоре или пережевывании пищи
Особенно важно выявить укорочение уздечки и произвести ее пластику перед установкой имплантов, так как анкилоглоссия нередко способствует переимплантиту, когда питание тканей вокруг импланта нарушается. Из-за этого имплант же, лишается опоры и впоследствии выпадает
Также анкилоглоссия у взрослых может являться причиной таких пародонтических недугов, как появление карманов в челюсти, патологической зубной подвижности, обнажение зубных корней (рецессия десен) и др.
Основные виды операций при анкилоглоссии
В зависимости от вида патологии, пациентам с анкилоглоссией могут быть предложены несколько видов корригирующих операций по пластике уздечки:
- Френулотомия. Это наиболее простая операция, при которой уздечка разрезается, а затем ушиваются края слизистой оболочки.
- Френулоэктомия (способ Гликмана). При этом способе зафиксированная уздечка надрезается со стороны зубов, а ее края ушиваются.
- Френулопластика (способ Виноградовой). При этом способе со слизистой вырезается лоскут в форме треугольника, который затем пришивается к слизистой.
- Другими видами френулопластики являются методы Поповича, Лимберга. Для каждого метода имеются свои показания к операции.

Лечение лазером
Лазерная пластика уздечки языка относится к микрохирургическим и имеет минимум осложнений
Лазерная коррекция длится 3-5 минут, швы после нее не нужны. Вместо этого на рану накладывается повязка с ускоряющими заживление препаратами (кератопластики).
Лазер работает бесконтактно и максимально точно. Самыми важными преимуществами из них являются:
- комфортность для пациента;
- отсутствие кровотечения после операции;
- минимальные болевые ощущения в момент операции;
- минимум бактериальных осложнений и инфицирования;
- филигранность и точность разрезов;
- минимальные дозы анестетиков;
- эргономичность;
- отсутствие швов;
- послеоперационный период не превышает 2 дня;
- быстрота заживления послеоперационных швов.
Операция с помощью лазера максимально безопасна и комфортна, что особенно важно при лечении детей
Показания для подрезания уздечки верхней губы
Зачем проводят пластику верхней губы? Подрезание слизистой выполняется по определенным показаниям, и сделать ее без назначения специалиста нельзя. Проводится она после того, как доктор осмотрит ротовую полость малыша и вынесет заключение. Некоторым деткам уздечку подрезают практически после рождения, если она мешает нормальному грудному вскармливанию или болит. Дело в том, что активная работа верхней губы необходима для сосания груди. Если подвижность нарушена, то младенец испытывает трудности при питании.
Основные показания для операции:
Проблемы с кормлением. Из-за неподвижной губы грудничок неспособен правильно сосать грудь. Операция зачастую проводится сразу в роддоме.
Укороченная и толстая уздечка. В будущем аномалия помешает нормальному росту передних зубов, что вызовет деформацию зубного ряда. Дефект слизистой оболочки провоцируют нарушение речи – ребенок не сможет произносить буквы или звуки.
Диастема (щербинка между передними зубами). Пространство постоянно закрыто тканью, из-за чего невозможно полноценно ухаживать за ротовой полостью. Появляется налет, зубной камень или кариес. Избавиться от патологий у подросших деток намного труднее, чем исправить уздечку нижней губы в младенческом возрасте.
Пародонтит или предрасположенность к нему. Воспалительные процессы во рту, отхождение десен и выпадение зубов – не очень хорошая перспектива для малыша
Снизить риск развития заболевания возможно, обратив внимание на уздечку.
Подготовка к ортопедическому или ортодонтическому лечению. Установка брекет-системы или другой конструкции для выравнивания зубного ряда невозможна при аномалии.
Во взрослом возрасте (когда чадо уже начинает говорить) операция проводится при наличии неустранимых проблем с дикцией. Доктора отмечают, что пациенты, у которых уздечка нижней губы (или верхней) утолщена, испытывают трудности в произношении некоторых звуков.
Неправильное развитие провоцирует нарушение прикуса и процесса жевания. В результате нередко появляются заболевания зубов и органов желудочно-кишечного тракта.




























